甲状腺结节是指在甲状腺内的肿块,是临床常见的病症。
甲状腺结节的发生主要与生活方式、环境因素有一定关系。自身免疫性因素、遗传因素、食物中的碘缺乏或高碘饮食、环境污染(包括环境中辐射强度的增加)、体内一些酶的缺乏、压力过大及长期焦虑或抑郁、机体代谢异常都可以导致甲状腺结节。

以前甲状腺结节的诊断依赖外科医生触诊,一般只能发现1cm以上的结节。近年来,甲状腺超声检查纳入每年常规体检必检项目,超声检查对发现甲状腺结节十分敏锐,甚至0.2cm的结节都无处遁形。中国人群中甲状腺结节的发病率大约为20%-76%【1】,其中大多数为不具有临床意义的良性结节。根据年龄、性别、受辐射史、家族史和其他因素的不同,甲状腺结节患者7%~15%为甲状腺癌【2】。
那么,如何判定甲状腺结节的良恶性呢?
目前,判定甲状腺结节的良恶性一般有两种方式。
一是国内外多个指南推荐对于已知或可疑的甲状腺结节应行甲状腺及颈部淋巴结的超声检查及评估,评估内容包括:腺体的大小及内部回声,是否存在结节,结节的大小(3个径线)、数量、位置、质地(实性或囊性)、内部回声、形状、边界、包膜、钙化(是否存在钙化及钙化类型)、血供及与周围组织的关系等情况以及检查甲状腺激素、甲状腺自身抗体和肿瘤标志物。
二是通过术前行细针穿刺抽吸活检(FNAB)或者空心针活检 (CNB),国内外指南均对术前FNAB和CNB有较高的评价并建议,术前FNAB并誉为判定甲状腺结节的良恶性的“金标准”。但是由于术前FNAB和CNB需要一定的操作要求以及对患者来说是侵入性的检查,术前FNAB和CNB的应用并不广泛。

注:① 术前评估甲状腺结节良恶性时,FNAB是敏感度和特异度最高的方法。② FNAB 中出现美国 TBS(the Bethesda System,TBS)Ⅰ类结果的概率为10%-33.6%,此类患者需数月后再次穿刺活检确诊;CNB具有安全、患者耐受性高、并发生症少,可以减少 TBS Ⅰ、Ⅲ类结果的报告率,进一步减少不必要的手术。
另外,由于术前FNAB和CNB技术的局限性,仅根据形态学判断,仍有约 5-20% 的病例不能确定良恶性【3,4】。

同时,随着分子生物学的高速发展,应用生物标志物来辅助鉴别CNB中的不确定良恶性的甲状腺结节病例可解决临床面临的难题。
北京大学第一医院病理科团队利用必赢242net官网的OncoAim® 甲状腺癌多基因分子检测技术,对生物标志物用于鉴别临床CNB不确定病例的良恶性的价值进行了探索和研究。相关研究最近发表在著名欧洲病理学杂志《Virchows Archiv》上。
本研究回顾性分析107例同时具有CNB及匹配的切除标本的甲状腺结节患者,并根据临床诊断标准进行诊断和归类。
同时,利用必赢242net官网的OncoAim® 甲状腺癌多基因检测试剂盒进行NGS测序(表1),并以切除标本的临床分类作为金标准,计算生物标志物鉴别甲状腺结节良恶性的敏感性、特异性、阳性预测值(PPV)、阴性预测值(NPV)和准确性。

表1. OncoAim®甲状腺癌多基因检测试剂盒检测的基因列表
本研究纳入病例107例。根据临床诊断标准,CNB诊断结果为:40 (37.4%) 例不确定良恶性、32 (29.9%) 例滤泡性肿瘤和 35 (32.7%) 例可疑恶性肿瘤;而匹配的切除甲状腺样本则包括:良性22 (20.6%)例、恶性85(79.4%)例。对于40例不确定结果的CNB样本,与之匹配的切除样本被诊断为甲状腺炎(4例)、NH(9例)和FVPTC(27例)(表 2)。

表2. CNB及切除的甲状结节样本临床分类
注:CPTC:常规甲状腺乳头状癌、FVPTC:滤泡变异型甲状腺乳头状癌、FTC:滤泡状甲状腺癌、FA:滤泡状腺瘤、NH:结节增生。
免疫组织化学(IHC)是病理学最常用的辅助技术。以往研究表明,检测CK19、galectin-3、HBME-1和 CD56有助于区分甲状腺结节的良恶性[5,6,7,8]。本研究对CNB样本进行IHC检测分析后发现CK19、galectin-3、HBME-1的阳性率分别为:69.16%、81.31%和54.21%,而CD56阴性率为43.93%(表3)。

表3. CNB样本的免疫组化检测结果
OncoAim®甲状腺癌多基因的NGS检测分析
癌症基因组图谱 (TCGA) 对PTC的综合基因组特征的分析发现,97% 的PTC具有独特的分子改变,因此本研究采用必赢242net官网的OncoAim®甲状腺癌多基因检测试剂盒对CNB样本进行NGS测序,结果显示CNB样本中68例 (63.55%) 为NGS阳性,包含了 41例BRAF V600E突变、8例RAS突变、7例RET融合突变等(表4)。

表4. CNB 样本的 OncoAim®-NGS检测结果
生物标志物对CNB病例良恶性的鉴别能力
以匹配样本的临床诊断作为金标准,本研究评估了各生物标志物对CNB样本良恶性的鉴别能力,其中所有47例CD56阴性病例均被临床诊断为恶性(图1),IHC-NGS 阳性的 99 例中,85 例被临床诊断为恶性,14例为良性(表5);同时评估了各生物标志物的敏感性、特异性、PPV、NPV和准确度,如NGS的各项结果为80.00%、90.91%、97.14%、54.05%和 82.24%,联合分析IHC-NGS的结果为100.00%、36.36%、85.86%、100.00% 和 86.92%(表5)。

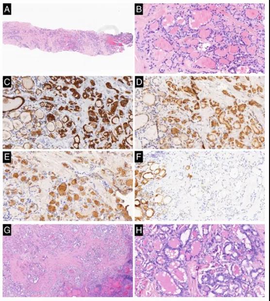
图1. CNB中不确定良恶性病例的匹配切除样本被诊断为滤泡变异型甲状腺乳头状癌

表5. 生物标志物对CNB病例良恶性的预测情况
生物标志物对滤泡性/非滤泡性肿瘤病例良恶性的鉴别能力
为评估生物标志物对不同类型病例的预测价值,本研究将队列分为滤泡性肿瘤(FN)和非滤泡性肿瘤(non-FN-lesion)两组,FN包括FTC和FA,非FN病变包括CPTC、FVPTC、NH 和甲状腺炎。NGS检测对鉴别FN的敏感性、特异性、PPV、NPV及准确度分别为:52.17%、88.89%、92.31%、42.11% 和62.50%(表6),对于非FN病例则为:90.32%、92.31%、98.25%、66.67% 和 90.67%(表7)。因此NGS对非FN病变的良恶性兼备具有高特异性(92.31%)和敏感性(90.32%),综合考虑 PPV 和 NPV等因素,NGS 对辅助判断非FN病变良恶性的效率较高。

表6. 生物标志物对滤泡性肿瘤病例的预测情况

表7. 生物标志物对非滤泡性肿瘤病变病例的预测情况
目前,利用生物标志物鉴别CNB中的不确定良恶性的甲状腺结节病例可解决临床面临的困难。
本研究发现,CD56阴性或NGS检测阳性都表明FN或非FN病例为恶性病变的可能性较高,该检测结果可能作为“判断病例为恶性”的工具;而IHC和IHC-NGS检测阴性,则意味着FN及非FN病例为良性病变的可能性较高,该结果可能作为病例“排除恶性”的工具。考虑到特异性和敏感性的平衡,NGS检测更适用于非FN病变的辅助诊断,而IHC-NGS的组合分析则对FN的良恶性鉴别更有效。